Προετοιμασία Ασθενούς:
- Δεν απαιτείται συγκεκριμένη προετοιμασία για την εν λόγω εξέταση.
- Η φαρμακευτική αγωγή του ασθενούς δεν χρειάζεται να σταματήσει.
- Σε περίπτωση κλειστοφοβικού ασθενή, ο ασθενής πρέπει να προσέλθει στο κέντρο 30’ νωρίτερα της εξέτασής του ώστε να δοθεί κατάλληλο ηρεμιστικό χάπι.
Τοποθέτηση (ασθενούς – πηνίων)
- Ο ασθενής συμπληρώνει το έντυπο συγκατάθεσης.
- Ο Τεχνολόγος Μαγνητικής Τομογραφίας ελέγχει το έντυπο συγκατάθεσης και εφόσον δεν προκύπτουν ζητήματα ασφάλειας τότε συνεχίζεται κανονικά η διαδικασία.
- Ο ασθενής αφαιρεί όλα τα ρούχα του (εκτός από το εσώρουχο) και τυχόν μεταλλικά αντικείμενα και φοράει κατάλληλη εξεταστική ρόμπα.
- Οι γυναίκες ασθενείς πρέπει να αφαιρέσουν και τον στηθόδεσμο.
- Ο ασθενής τοποθετείται με το κεφάλι πρώτα (head first).
- Χρησιμοποιείται το πηνίο του εγκεφάλου.
- Η κεφαλή του ασθενούς τοποθετείται προσεκτικά εντός του πηνίου, χωρίς κλίση και στροφή όσο αυτό είναι εφικτό.
- Χρησιμοποιούνται κατάλληλα μαξιλάρια με σκοπό την ακινητοποίηση της κεφαλής, ώστε να περιοριστεί η πιθανότητα εμφάνισης τεχνικών σφαλμάτων κίνησης.
- Χρησιμοποιούνται κατάλληλα μαξιλάρια ώστε να μην έρχεται σε επαφή το σώμα του ασθενούς με τον Μαγνητικό Τομογράφο.
- Πρέπει να δοθεί οδηγία στον ασθενή να παραμένει με κλειστά τα μάτια καθ’ όλη τη διάρκεια της εξέτασης, σε μια προσπάθεια να μειωθούν τα τεχνικά σφάλματα κίνησης. Σε αντίθετη περίπτωση, τα σφάλματα λόγω κίνησης των οφθαλμών θα εμφανιστούν εντός του πεδίου ενδιαφέροντος, υποβαθμίζοντας την ποιότητα της εξέτασης.
Πρωτόκολλο απεικόνισης
- Το πρωτόκολλο απεικόνισης μπορεί να διαφέρει ανάλογα με το κλινικό ερώτημα και την προτίμηση του κάθε τμήματος Μαγνητικής Τομογραφίας.
- Ένα τυπικό πρωτόκολλο MRI οφθαλμικών κόγχων παρουσιάζεται στον παρακάτω πίνακα.
- Για την μείωση των τεχνικών σφαλμάτων κίνησης, μπορούν να χρησιμοποιηθούν ακτινωτές (radial) τεχνικές πλήρωσης του κ-χώρου αντί κάποιων εκ των συμβατικών ακολουθιών/γραμμικών τεχνικών. Αυτές οι τεχνικές ονομάζονται PROPELLER/BLADE/MultiVane.
- Σε κάποιες περιπτώσεις απαιτείται η εφαρμογή δεύτερου localizer, εντοπισμένο στην περιοχή των οφθαλμικών κόγχων, με σκοπό τον βέλτιστο σχεδιασμό των διαγνωστικών ακολουθιών.
- Προτείνεται η εφαρμογή μερικών ακολουθιών ολόκληρου του εγκεφάλου για screening της περιοχής, αφού μπορεί να προκύψουν τυχαία ευρήματα ή η αιτία των συμπτωμάτων του ασθενούς να προέρχεται από διαφορετική περιοχή του εγκεφάλου εν τέλει.
- Το στεφανιαίο είναι το σημαντικότερο επίπεδο στην MRI οφθαλμικών κόγχων, επειδή σε αυτό το επίπεδο οι τομές είναι κάθετες στο οπτικό νεύρο.
- Η λήψη εικόνων σε οβελιαίο επίπεδο δεν είναι απαραίτητη σε ένα τυπικό πρωτόκολλο οφθαλμικών κόγχων. Φυσικά, το οβελιαίο επίπεδο μπορεί να προστεθεί στο πρωτόκολλο απεικόνισης ανάλογα με το κλινικό ερώτημα και την προτίμηση του ιατρού ακτινολόγου.
- Στην MRI οφθαλμικών κόγχων απαιτούνται ακολουθίες με και χωρίς καταστολή του σήματος του λίπους.
- Οι ακολουθίες με καταστολή του σήματος του λίπους βοηθάνε στην καλύτερη ανάδειξη της παθολογίας (πχ οπτική νευρίτιδα, μάζα κ.ά.). Αυτό συμβαίνει επειδή η περιοχή των οφθαλμών είναι γεμάτη από λίπος, και αφού το λίπος αναδεικνύεται φωτεινό σε όλες τις ακολουθίες παλμών μπορεί να αποκρύψει παθολογία.
- Οι ακολουθίες χωρίς καταστολή του λίπους βοηθάνε στην ανάδειξη της ανατομίας, την αξιολόγηση των μυών της περιοχής, καθώς και την ανάδειξη παθολογίας που περιέχει λίπος (πχ λίπωμα).
- Συνήθως για την καταστολή του σήματος του λίπους χρησιμοποιείται είτε η τεχνική STIR είτε η τεχνική φασματικού/χημικού κορεσμού (fatsat).
- Μια καλή εναλλακτική επιλογή είναι η χρήση της τεχνικής Dixon/IDEAL/Flex, η οποία προσφέρει ομοιογενή καταστολή του λίπους (δεν επηρεάζεται ιδιαίτερα από τις ανομοιογένειες του μαγνητικού πεδίου), είναι συμβατή με όλες τις ακολουθίες (SE και GRE) και τα βάρη εικόνας (T1-w, T2-w, PD-w), μπορεί να ληφθεί μετά την έγχυση της σκιαγραφικής ουσίας (σε αντίθεση πχ με την STIR) και προσφέρει εικόνες με και χωρίς καταστολή του λίπους μετά από μια μόλις σάρωση.
- Επίσης, προτείνεται πάντοτε η χρήση μιας 3D T2-w TSE/FSE (ή εναλλακτικά μιας 3D FIESTA-C/CISS) ακολουθίας με λεπτές τομές. Οι λεπτές τομές βοηθούν στην καλύτερη αξιολόγηση των νεύρων τα οποία είναι δομές μικρού μεγέθους, και πάντα υπάρχει η πιθανότητα κάποια μικρή παθολογία να μην απεικονιστεί στις 2D ακολουθίες των 3 χιλιοστών.
- Χρήση σκιαγραφικού μέσου απαιτείται σχεδόν πάντα στην εξέταση των οφθαλμικών κόγχων, με σκοπό την πιο ολοκληρωμένη αξιολόγηση της περιοχής (πχ καλύτερη ανάδειξη φλεγμονής, αξιολόγηση πιθανής πρόσληψης σκιαγραφικής ουσίας από το οπτικό νεύρο κ.ά.).
- Οι εικόνες Τ1-w με σκιαγραφική ενίσχυση πρέπει να λαμβάνονται με καταστολή του λίπους, εξαιτίας του μεγάλου ποσοστού λίπους που υπάρχει στην περιοχή των οφθαλμικών κόγχων.
- Εικόνες Τ1-w με σκιαγραφική ενίσχυση χωρίς καταστολή του λίπους δεν λαμβάνονται στο πρωτόκολλο ρουτίνας, παρά μόνο όταν η παθολογία βρίσκεται σε περιοχή που συνυπάρχουν τεχνικά σφάλματα μαγνητικής επιδεκτικότητας.
- Επομένως, πριν την έγχυση της σκιαγραφικής ουσίας λαμβάνονται στεφανιαίες (συνήθως) εικόνες Τ1-w TSE/FSE με καταστολή του λίπους, ενώ μετά την έγχυση της σκιαγραφικής ουσίας λαμβάνονται τόσο στεφανιαίες όσο και εγκάρσιες εικόνες Τ1-w TSE/FSE με καταστολή του σήματος του λίπους.
- Πάντα πρέπει να υπάρχει η ίδια ακριβώς ακολουθία (και στο ίδιο επίπεδο) πριν και μετά την ενδοφλέβια έγχυση σκιαγραφικής ουσίας για λόγους ορθής σύγκρισης.
- Εάν απαιτούνται λεπτότερες τομές μπορεί να γίνει χρήση 3D Τ1-w ακολουθίας με καταστολή του λίπους, είτε SE (TSE/FSE) είτε GRE.
Σχεδιασμός τομών
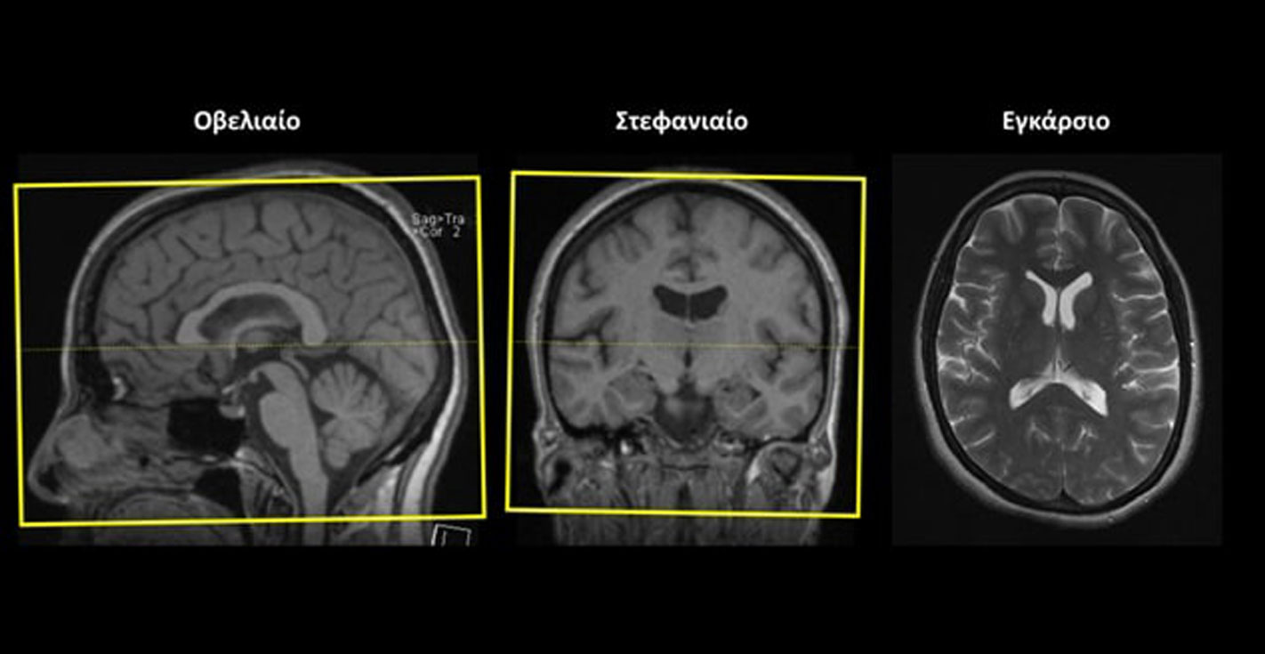
Εγκάρσιο (Axial/Transversal) ολόκληρου του εγκεφάλου: οι εγκάρσιες τομές σχεδιάζονται παράλληλα με το πρόσθιο (γόνυ) και το οπίσθιο (σπληνίο) κέρας του μεσολοβίουστο οβελιαίο επίπεδο και κάθετα στη μέση γραμμή του εγκεφάλου στο στεφανιαίο επίπεδο. Οι τομές πρέπει να περιλαμβάνουν ολόκληρο τον εγκέφαλο έως και την παρεγκεφαλίδα (κάτω).
Στεφανιαίο (Coronal): οι στεφανιαίες τομές σχεδιάζονται παράλληλα με τους φακούς των οφθαλμών στο εγκάρσιο επίπεδο και κάθετα στα οπτικά νεύρα στο οβελιαίο επίπεδο. Κάποιες φορές το οπτικό νεύρο του δεξιού οφθαλμικού κόγχου έχει διαφορετική κλίση από το οπτικό νεύρο του αριστερού οφθαλμικού κόγχου στο οβελιαίο επίπεδο. Σε αυτή την περίπτωση, οι στεφανιαίες τομές σχεδιάζονται κάθετα στο οπτικό νεύρο του οφθαλμικού κόγχου ενδιαφέροντος. Οι τομές πρέπει να περιλαμβάνουν ολόκληρη την περιοχή ενδιαφέροντος, από τους φακούς των οφθαλμών (μπροστά) έως και το οπτικό χίασμα (πίσω). Tip:Το οπτικό χίασμα βρίσκεται στο ίδιο ύψος με την υπόφυση.
Εγκάρσιο (Axial/Transversal): οι εγκάρσιες τομές σχεδιάζονται παράλληλα με τη νοητή γραμμή που ενώνει τα δύο οπτικά νεύρα στο στεφανιαίο επίπεδο και παράλληλα με τα οπτικά νεύρα στο οβελιαίο επίπεδο. Κάποιες φορές το οπτικό νεύρο του δεξιού οφθαλμικού κόγχου έχει διαφορετική κλίση από το οπτικό νεύρο του αριστερού οφθαλμικού κόγχου στο οβελιαίο επίπεδο. Σε αυτή την περίπτωση, οι εγκάρσιες τομές σχεδιάζονται παράλληλα με το οπτικό νεύρο του οφθαλμικού κόγχου ενδιαφέροντος. Οι τομές πρέπει να περιλαμβάνουν ολόκληρη την περιοχή των οφθαλμικών κόγχων, από πάνω έως κάτω.
Βιβλιογραφικές παραπομπές
- ACR–SPR–SSR PRACTICE PARAMETER FOR THE PERFORMANCE AND INTERPRETATION OF MAGNETIC RESONANCE IMAGING (MRI) OF THE HEAD AND NECK Res. 16 – 2018
- Di Muzio, B., Murphy, A. Orbits protocol (MRI). Reference article, Radiopaedia.org. (accessed on 29 Jan 2022) https://doi.org/10.53347/rID-53765